Spine Surgeons in Guntur

Spine Surgery

Spine surgery is usually two types, traditional spine surgery or minimally invasive spine surgery. Traditional spine surgery involves complete exposure to anatomy whereas minimally invasive spine surgery creates a smaller incision however additional tests are needed before proceeding with a minimal invasive technique. Get the contact with the Best doctors for spine surgery at Narayana Hospitals which is one of the best hospital for spine surgery in Guntur with the advanced technologies and the best treatment for spine surgery. The best spine surgeons who have years of knowledge can help you relieve from spine problems.

Different techniques for minimally invasive surgeries:

  • Anterior : Spine is accessed through the abdomen (front of the body).
  • Posterior: Incision is in the back of the body.
  • Lateral: Sideway approach to the spine.

Few common surgical procedures:

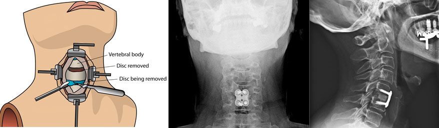
  • Disectomy or Microdisectomy: Releasing pressure from nerve by removing the damaged disc.
  • Laminectomy: Increasing the space in the spine canal by removing the bone plate present on the vertebra (laminae).
  • Laminotomy: a portion of the arch on the vertebra is removed.
  • Foraminotomy: Removal of obstruction from nerve root.
  • Disc replacement: Replacing the injured disc with an artificial one.
  • Spinal fusion: Joining 2 vertebra with bone graft.

Some of the spinal corrections: